Gum Grafting in Torrance
Gum grafting is a specialized periodontal procedure designed to restore and protect areas of gum recession. At SmileWell Family Dentistry, we provide gentle, effective gum grafting treatment to improve oral health, reduce sensitivity, and enhance the appearance of your smile.
What Is Gum Grafting?
Gum grafting is a procedure used to treat gum recession, a condition where the gum tissue pulls away from the teeth and exposes the tooth roots. Receding gums can result from periodontal disease, aggressive brushing, genetics, or bite issues. If left untreated, gum recession can increase the risk of decay, sensitivity, and further bone loss.
When Gum Grafting Is Recommended
Gum grafting may be recommended if you experience:
- Visible gum recession or exposed tooth roots
- Tooth sensitivity to hot or cold
- Increased risk of root decay
- Uneven or thinning gum tissue
- Progressive gum or bone loss
-
Before
After
Before: Receding gums affecting multiple teeth.
After: A gum graft repaired the area and restored a more natural, comfortable gum contour. -
Before
After
Before: The gum had receded, exposing the root and causing sensitivity. The tooth also appeared longer than normal.
After: A gum graft covered the sensitive root and improved the natural look of the gum line.
Our Gum Grafting Approach
We use modern techniques to ensure comfort, precision, and predictable results. Depending on your needs, gum tissue may be gently repositioned or grafted to cover exposed areas and strengthen the gumline. Our goal is to restore healthy tissue while maintaining a natural look and feel.
- Comprehensive evaluation of gum and bone health
- Advanced imaging to assess recession severity
- Carefully planned treatment for optimal healing
- Focus on patient comfort and long-term stability
Benefits of Gum Grafting
Gum grafting offers both health and cosmetic benefits, including:
- Protection of exposed tooth roots
- Reduced tooth sensitivity
- Prevention of further gum and bone loss
- Improved gumline symmetry and appearance
- Enhanced long-term oral health
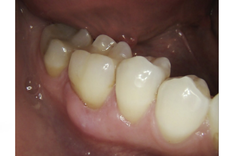
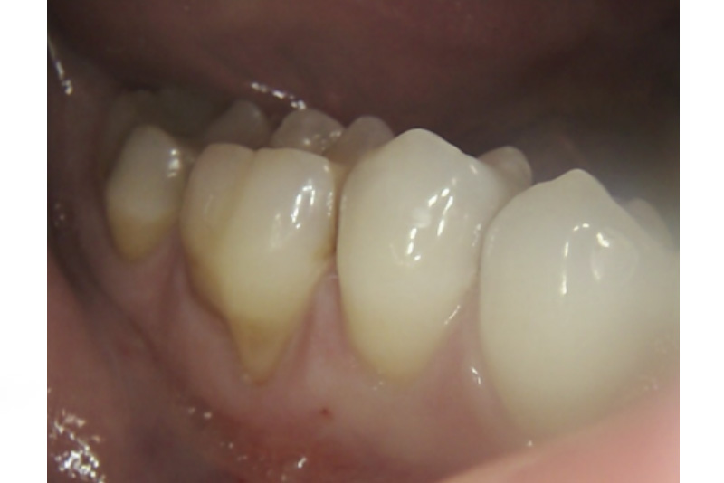
-
Before
After
Before: The gum around the molar had receded, leaving part of the root exposed.
After: A gum graft strengthened the gums and restored healthy tissue around the molar. -
Before
After
Treating Gum Recession
When gum tissue becomes thin and recedes, the tooth loses protection. Modern gum grafting techniques rebuild healthy tissue to protect the root and support long-term oral health.
Healing and Long-Term Care
Following gum grafting, proper oral hygiene and regular follow-up visits are essential for successful healing. Our team will provide clear aftercare instructions and personalized guidance to help maintain healthy gums and protect your results.
Schedule a Consultation
If you’ve noticed receding gums or increased tooth sensitivity, contact 310-782-6155 to schedule a consultation. We’re here to help restore comfort, confidence, and the health of your smile.
