Gum Receding Treatment in Torrance
Gum recession occurs when gum tissue pulls away from the teeth, exposing the roots and increasing the risk of sensitivity, decay, and tooth loss. At SmileWell Family Dentistry, we offer comprehensive gum receding treatment — including in-office gum grafting — to restore gum health, protect your teeth, and improve comfort and appearance.
What Causes Gum Recession?
Gum recession can develop due to periodontal disease, aggressive brushing, genetics, teeth grinding, bite misalignment, or inadequate oral hygiene. Identifying the underlying cause allows us to create a personalized and effective treatment plan.
-
Before
After
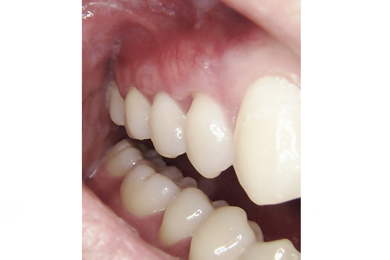
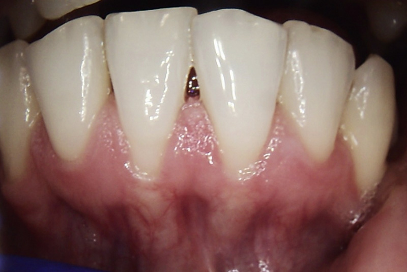
Before: Receding gums affecting multiple teeth.
After: A gum graft repaired the area and restored a more natural, comfortable gum contour. -
Before
After
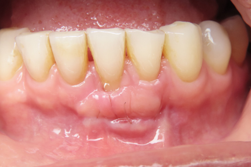
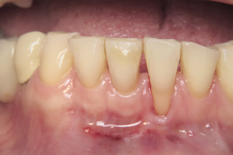
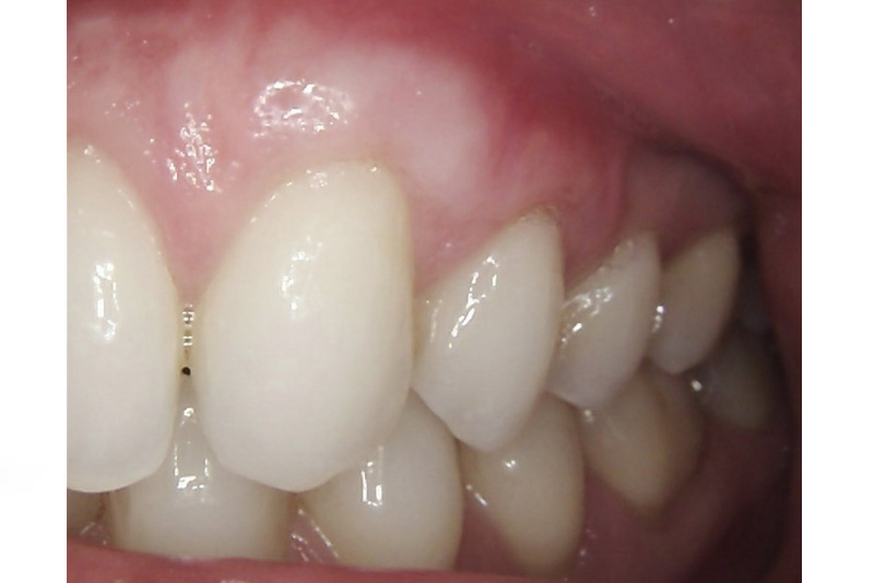
Before: The gum had receded, exposing the root and causing sensitivity. The tooth also appeared longer than normal.
After: A gum graft covered the sensitive root and improved the natural look of the gum line.
Signs of Receding Gums
You may be experiencing gum recession if you notice:
- Teeth that appear longer than normal
- Exposed tooth roots
- Tooth sensitivity to hot, cold, or sweets
- Notches or wear near the gumline
- Red, swollen, or tender gums
Our Gum Recession Treatments
Treatment depends on the severity of recession and your individual needs. Our services include:
- Professional cleanings to remove plaque and bacteria
- Scaling and root planing for active gum infection
- Desensitizing treatments to reduce root sensitivity
- Occlusal adjustments or night guards for teeth grinding
- Gum grafting performed in-office to restore lost gum tissue and protect exposed roots
-
Before
After
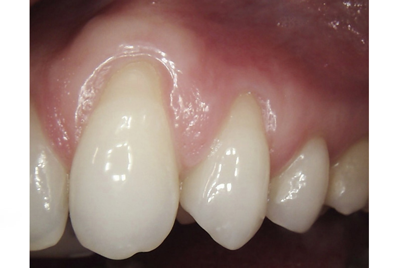
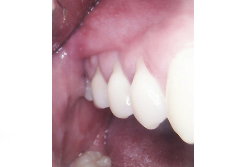
Before: The gums around the front teeth were thin and had started to recede.
After: Healthier, thicker gum tissue now supports the teeth and helps restore the natural gum line. -
Before
After
Treating Gum Recession
When gum tissue becomes thin and recedes, the tooth loses protection. Modern gum grafting techniques rebuild healthy tissue to protect the root and support long-term oral health.
Gum Grafting for Receding Gums
When gum tissue loss is advanced, gum grafting may be recommended. This procedure restores and strengthens the gumline, covers exposed roots, and helps prevent further recession. Our team uses modern techniques focused on comfort, precision, and long-term stability.
Preventing Further Gum Recession
Preventive care is essential to maintaining healthy gums. We provide guidance on proper brushing techniques, recommend appropriate oral hygiene tools, and monitor your gum and bone health during regular visits.
Schedule an Evaluation
If you’re noticing gum recession or experiencing tooth sensitivity, contact 310-782-6155 to schedule an evaluation. We’re here to restore comfort, protect your smile, and support your long-term oral health.
