Gummy Smile in Torrance

Gummy Smile in Torrance

A beautiful smile is not just about your teeth. The appearance of your gums plays a crucial role too. If you have a gummy smile or an uneven gum line, it can affect your smile's aesthetics and your confidence. But don't worry; at SmileWell Family Dentistry, we're here to help.

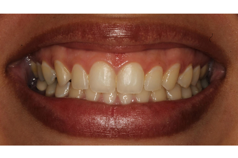
Correcting a gummy smile or an uneven gum line will boost your self-confidence and enhance your facial aesthetics, allowing you to smile, laugh, and engage socially without hesitation.

Impact of Gummy Smile and Uneven Gum Line

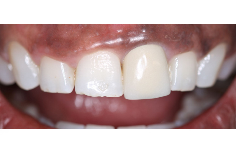
A gummy smile is when you see an excessive amount of gum tissue when you smile. An uneven gum line, on the other hand, is when your gums cover different amounts of your teeth, making them appear to be of different lengths.

Both these conditions can make individuals self-conscious about their smile. However, modern periodontal procedures can effectively address these issues and dramatically improve the harmony of your smile.

Options for Treatment at SmileWell Family Dentistry

There are different treatment options tailored to your specific needs:

  • Gingivectomy: This procedure removes excess gum tissue that extends too far down on the tooth's surface, revealing more of your natural tooth.
  • Gum Contouring: This involves adjusting the gum line to create a more uniform appearance.
  • Gum Reshaping: This reshapes the gum line for a more aesthetically pleasing appearance.
  • Crown Lengthening: This surgical procedure exposes more of the tooth's surface by reshaping or recontouring bone and gum tissue.

Embrace Your Beautiful Smile with SmileWell Family Dentistry

Don't let a gummy smile or an uneven gum line keep you from smiling confidently. At SmileWell Family Dentistry, we're committed to providing individualized and effective periodontal solutions to enhance your smile.

Take the next step towards achieving the smile of your dreams. Contact us at 310-782-6155. Our dedicated team in Torrance is ready to help you embrace your beautiful smile. Smile confidently, smile with SmileWell Family Dentistry.